Knee injuries can be life-altering, especially when they involve fractures around the joint. With advancements in orthopaedic technology, Knee Fracture Surgery has evolved significantly—offering patients faster recovery, better precision, and improved outcomes. One of the most promising innovations is robotic-assisted surgery, which is increasingly being used in complex knee procedures.

But when exactly should you choose robotic-assisted surgery for a knee fracture? Let’s break it down in a clear, patient-friendly way.

Robotic assisted knee surgery procedure image 2 Robotic assisted knee surgery procedure image 3 Robotic assisted knee surgery procedure image 4 Robotic assisted knee surgery procedure image 5

Understanding Knee Fractures

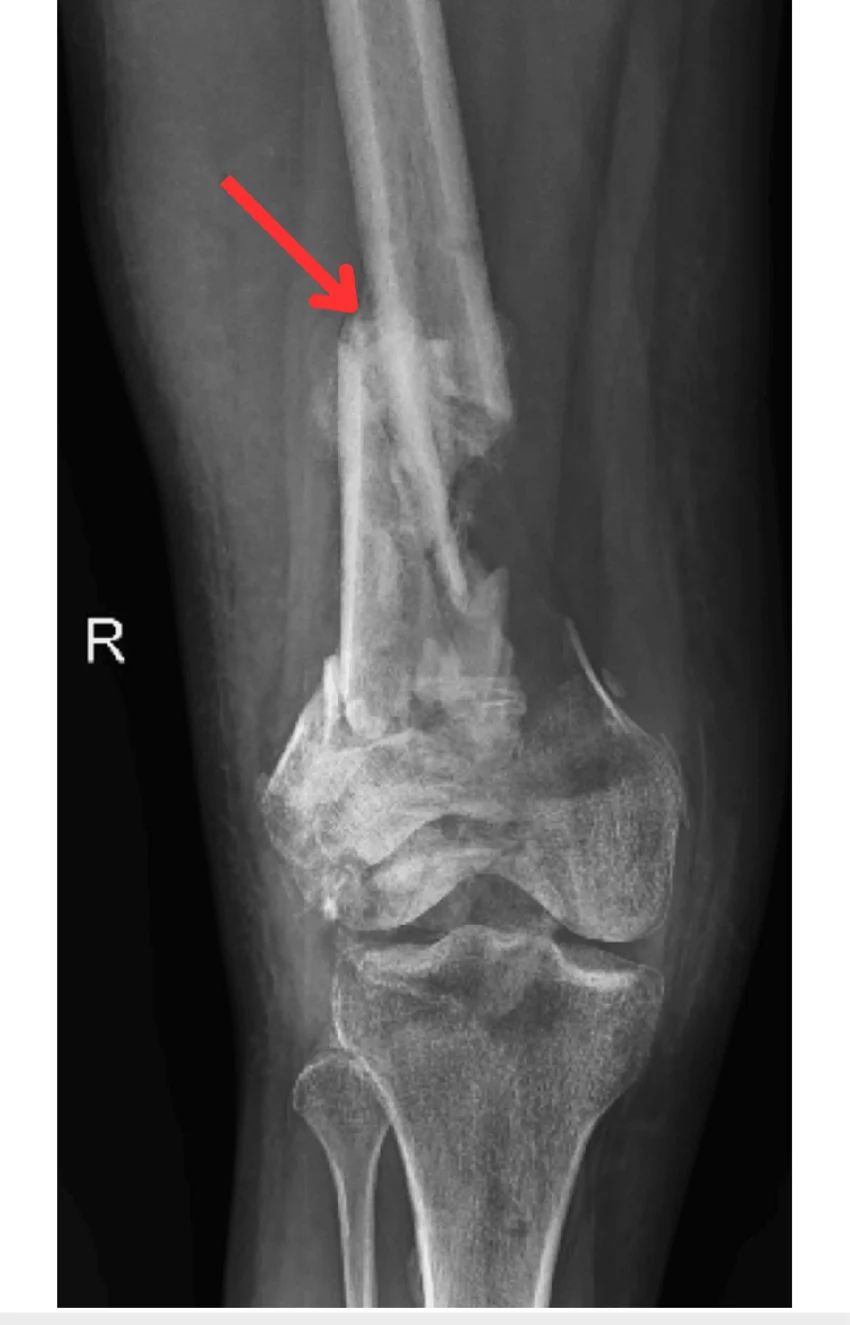
A knee fracture refers to a break in any of the bones forming the knee joint—typically the distal femur (thigh bone), proximal tibia (shin bone), or patella (kneecap).

Common Causes:

  • High-impact injuries (road accidents, sports trauma)
  • Falls, especially in older adults
  • Osteoporosis-related fragility fractures

Symptoms:

  • Severe pain and swelling
  • Inability to bear weight
  • Visible deformity or instability
  • Restricted movement of the knee

In many cases, simple fractures can be treated with immobilization. However, complex or displaced fractures often require surgical intervention.

Orthopaedic knee fracture surgery in progress in the operating theatre

What is Robotic-Assisted Knee Fracture Surgery?

Robotic-assisted surgery is an advanced technique where surgeons use a robotic system with 3D imaging and computer guidance to perform highly precise procedures.

In Knee Fracture Surgery, this technology helps:

  • Map the patient’s anatomy in detail
  • Plan exact implant placement or fixation
  • Execute surgery with millimeter-level accuracy

It’s important to note: the robot does not operate independently. The surgeon remains fully in control, using the robotic system as a precision tool.

Robotic assisted knee surgery procedure image 6 Robotic assisted knee surgery procedure image 7 Robotic assisted knee surgery procedure image 8 Robotic assisted knee surgery procedure image 9

When is Robotic-Assisted Surgery Recommended?

Not all knee fractures require robotic intervention. However, it becomes particularly beneficial in the following situations:

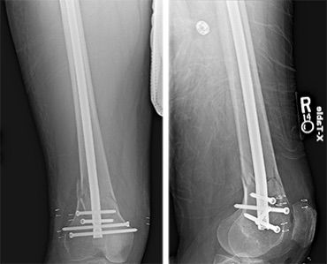
1. Complex or Multi-Fragment Fractures

When the fracture involves multiple bone fragments (comminuted fractures), achieving accurate alignment is critical. Robotic systems help reconstruct the joint surface precisely.

2. Fractures Involving the Joint Surface

Fractures like tibial plateau fractures directly affect the knee joint. Even a small misalignment can lead to arthritis later. Robotic assistance ensures near-perfect joint restoration.

3. Cases Requiring Implant Placement

When plates, screws, or joint replacements are needed, robotic guidance helps in:

  • Optimal positioning
  • Reduced chances of implant failure
  • Better long-term outcomes

4. Revision or Previously Operated Knees

If a patient has had prior surgery, anatomy may be altered. Robotic systems allow surgeons to navigate these complexities with higher confidence.

5. High-Performance Individuals

Athletes or active individuals often benefit from robotic precision, as it helps restore joint function more accurately and supports quicker return to activity.

Advantages of Robotic-Assisted Knee Fracture Surgery

1. Superior Precision

Robotic systems provide real-time feedback and 3D visualization, ensuring highly accurate bone alignment and implant placement.

2. Minimally Invasive Approach

Smaller incisions lead to:

  • Less blood loss
  • Reduced pain
  • Lower infection risk

3. Faster Recovery

Patients often experience:

  • Shorter hospital stays
  • Earlier mobilization
  • Quicker return to daily life

4. Improved Long-Term Outcomes

Better alignment reduces the risk of:

  • Post-traumatic arthritis
  • Implant wear and tear
  • Repeat surgeries

Are There Any Limitations?

Robotic assisted knee surgery procedure image 10 Robotic assisted knee surgery procedure image 11 Robotic assisted knee surgery procedure image 12 Robotic assisted knee surgery procedure image 13

While robotic-assisted Knee Fracture Surgery offers many benefits, it may not be suitable for everyone.

  • Not all fracture types require it
  • Availability may be limited in some centers
  • Cost can be higher compared to conventional surgery
  • Surgeon expertise plays a key role in outcomes

A thorough evaluation is always necessary before deciding the right approach.

Recovery After Robotic Knee Fracture Surgery

Recovery depends on the severity of the fracture and the procedure performed.

Typical Recovery Timeline:

  • First few days: Pain management and initial movement
  • 2–6 weeks: Gradual weight-bearing with support
  • 6–12 weeks: Strengthening and physiotherapy
  • 3–6 months: Return to normal activities

Following your surgeon’s rehabilitation plan is essential for optimal recovery.

Is Robotic Surgery Right for You?

Choosing the right treatment for a knee fracture is not a one-size-fits-all decision. While robotic-assisted techniques have revolutionized Knee Fracture Surgery, they are most beneficial in complex, precision-demanding cases.

The key is early diagnosis, proper imaging, and consultation with an experienced orthopaedic surgeon who can recommend the best approach tailored to your condition.

📞 Consult Dr. Pradyumna for Expert Knee Care

If you or a loved one is dealing with a knee injury or fracture, don’t delay treatment.

Dr. Pradyumna R specializes in advanced orthopaedic procedures, including robotic-assisted surgeries for complex knee conditions.

  • Get the right diagnosis.
  • Understand your treatment options.
  • Recover with confidence.

Book your consultation today: +91-9113025188

Your mobility matters—choose precision, choose the right care.